
清华大学生物医学影像中心成立于2010年,是在学校学科建设重点支持下的校级科研平台,2012年被北京市科委评为北京市多模态医学影像工程技术研究中心。
中心的研究团队包括多名医学影像领域的著名科学家和青年骨干,以医学成像和临床应用研究为核心,推动其在中国的发展,并在科技创新、产业结合方面提供多学科全球化的科研、教学和临床服务。影像中心拥有两台先进的3T全身磁共振成像系统(Philips Ingenia CX 3.0T和Siemens Prisma 3.0T),一台超高场5T全身磁共振成像系统(联影 Jupiter 5.0T),多套超声成像系统(含一台ICONEUS 脑功能超声成像系统),以及配套的成像技术、软硬件开发平台、图像数据处理工具和临床图像处理软件。中心的专业运行和技术支持团队以磁共振平台为核心,面向用户提供优秀的基础科学研究、成像技术研发和临床医学转化服务。
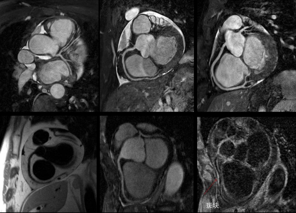
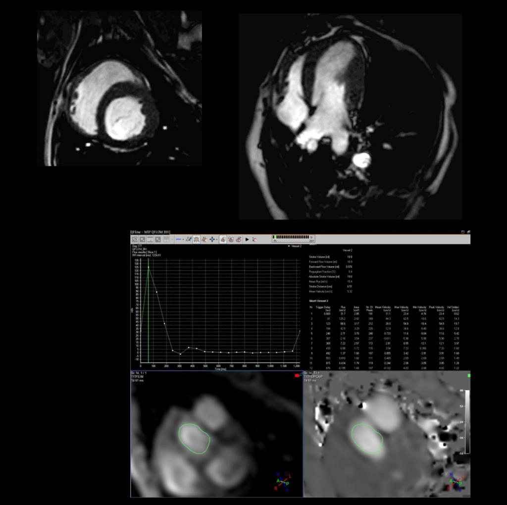
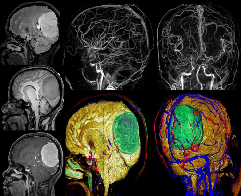
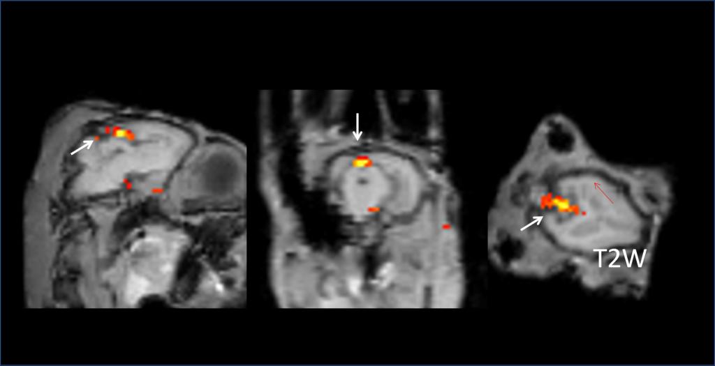
影像中心自成立以来,承担了科技部、国家自然科学基金委、卫生部、北京市科委等近百项国家和省部级项目,收到各种研究经费支持达5000万余元,已发表论文600余篇,发明专利60余项,国际专利10余项,培养学生130余人,获得各种奖励30余项。影像中心已成为全球重要的医学影像尤其是磁共振技术研发中心,开发出大视野高分辨血管壁多对比度成像、三维心肌定量成像、定量血流成像、定量生理成像、无变形高分辨率弥散成像等诸多原创技术,同时这些技术被广泛地应用在多项大规模临床人群队列研究当中形成了针对心脑血管、神经变性性疾病等原创性影像学解决方案。
目前,中心正以良好的学术氛围、优秀的教育平台、开放的实验环境,助力相关学科和产业的发展,努力打造国际一流的生物医学影像中心。

2026年3月17日( 周二) 13: 30-14: 30
清华大学医学科学楼C301
2026.3.13 周五13:00-14:00
清华大学生物医学影像研究中心101
2025.10.10 周五 10:00-11:30
清华大学生物医学影像中心101