脑功能超声(fUS)讲座及培训通知— Functional Ultrasound lecture and training —

发布时间:2024-10-15 浏览次数:

时间:

2024年10月22日-23日

地点:

医学科学楼C201、B212

由清华大学校级科研平台生物医学影像中心引进的Iconeus One功能超声成像(functional ultrasound,fUS)系统现已正式对校内外用户开放测试服务。

为了更好地服务校内外研究人员,影像中心脑功能超声开放实验室联合礼智生物科技有限公司,面向有意愿了解fUS的老师同学开展为期两天的讲座及培训,欢迎各位踊跃参加。

简介

Introduction

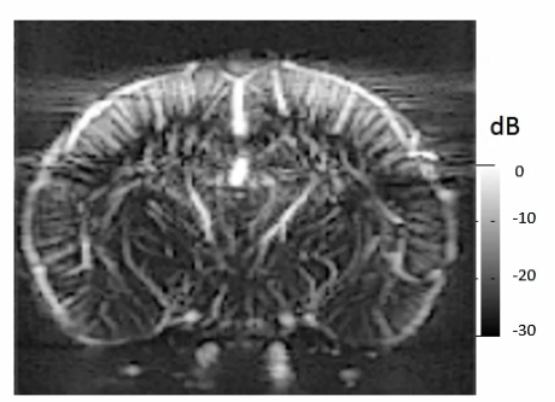
fUS是一种支持动物实时脑功能成像的新方法,相关方法与应用研究已有近40篇论文发表于Nature、Nature子刊、Science子刊、Cell、PNAS、Neuron等高水平期刊。fUS有望在神经科学基础研究、药理学与药物研发、中风与神经血管成像等领域发挥重要作用。

Iconeus One

Iconeus One 是世界首款基于功能性超声技术(fUS,functional ultrasound)设计的成像系统,支持自由活动动物脑功能实时成像及血流成像。

用途及性能

Iconeus One系统搭载多种专用成像探头,可对清醒或自由活动状态的小鼠、大鼠以及非人灵长类等动物进行全脑实时动态功能成像及血流成像、器官组织的结构及血流成像。可兼容电生理记录与光遗传学。时间分辨率10 ms,普通模式空间分辨率100 μm,超高分辨率模式空间分辨率10 μm。

软件系统支持

Iconeus One支持手动或程控扫描实时成像;可进行断层扫描和3D/4D成像;内置国际认可的Allen Brain 3D小鼠脑图谱,可快速自动配准全脑脑区及导航定位;自动分析各脑区的功能连接,获得全脑血流量变化的静态图像和视频。

讲座及培训安排

技术理论讲座

10月22日 9:00-12:00

医学科学楼 C201

Iconeus One 产品技术及手术讲解

上机培训

10月22日 13:00-17:00

医学科学楼 B212

Iconeus One 上机演示

上机实操

10月23日

医学科学楼 B212

分组上机实操

主 办 单 位:清华大学生物医学影像中心

承 办 单 位:礼智生物科技有限公司

联 系 人:

熊老师 17306675574

fus@mail.tsinghua.edu.cn