能力体系

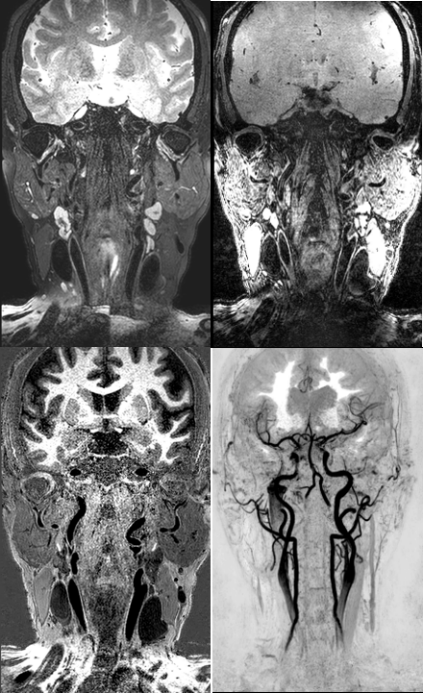
血管成像

中心支持磁共振的血管成像实验,包括脑血管成像和外周血管成像等。

对于血管成像,可支持的实验条件和可达到的指标为:

w血管血流状态:血管血流状态是否异常 分辨率≤0.8X0.8X0.8mm3

w管壁:血管管壁及成份是否异常 分辨率≤0.8X0.8X0.8mm3

w管腔:血管管腔结构是否异常 分辨率≤0.8X0.8X0.8mm3


                                                           
高分辨血管壁成像技术清晰显示椎动脉及基底动脉粥样硬化并斑块形成至管腔狭窄 磁共振高分辨血管壁成像技术显示左侧大脑中动脉 M1 段内血栓致左侧大脑梗塞


                                                                                                                                                           
磁共振高分辨血管壁成像技术清晰显示左侧大脑中动脉 M1 段炎性增强及管腔狭窄 左侧颈内动脉路外段动脉夹层,可观察到真假腔、内膜片和周围炎性渗出 磁共振大范围高分辨血管壁多对比度成像技术