能力体系

脑成像

中心支持磁共振的脑成像实验,包括脑的结构和功能成像以及数据处理。

对于脑功能和认知成像,可支持的实验条件和可达到的指标为:

w功能定位 分辨率≥64X64

w功能区之间联系 分辨率≥64X64

w功能区异常及联系异常 分辨率≥64X64


对于脑功能图像及数据处理,可支持神经结构图像处理、神经功能数据分析。


                                                           
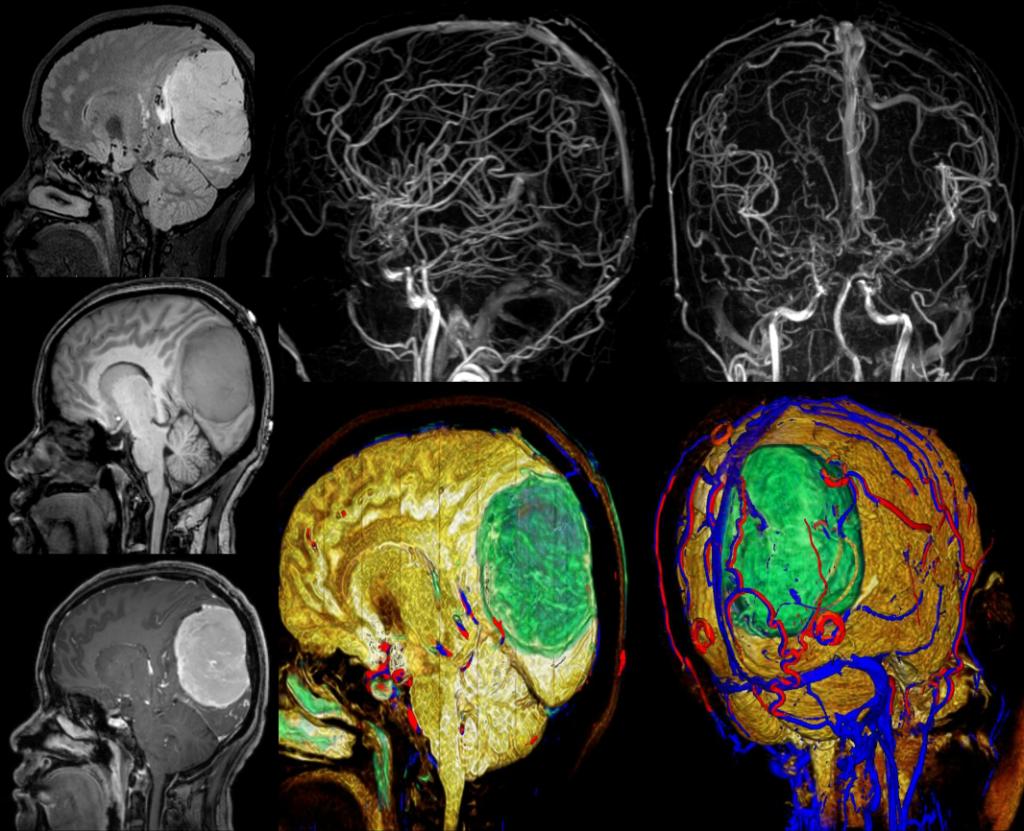
大脑结构 大脑血管及神经纤维束


                                                                                                       

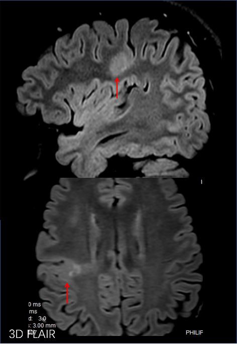
脑膜瘤患者,手术前计划,通过高分辨脑表面血管与瘤体病变,脑整体结构融合,获得明确定位表征信息。 脑中线视神经乳头胶质瘤,高分辨脑神经系统3D FLAIR成像技术显示视神经乳头胶质瘤的空间三维特征,DTI及纤维示踪后处理技术显示与手术入路相关穹隆及视路神经纤维束走行及特征。


                                                                                                                                                           
高分辨脑神经系统3D FLAIR成像技术显示局灶性皮质结构发育不良 高分辨脑神经系统mult-shot DWI 与传统single-shot成像技术对比,在脑灰质异位与急性脑皮质梗塞显示中更具优势。 3D SNAP-MRA 显示左大脑中动脉血管中断,3D FLAIR显示左脑萎缩及有功能的左手功能区,fMRI-Bold融合清晰显示功能区,DTI/FT 显示有功能的皮质纤维束。