由清华大学校级科研平台生物医学影像中心引进的uMR Jupiter 5T全身临床超高场磁共振系统已正式对校内外用户开放测试服务。
5T是什么?
联影uMR Jupiter 5T,是世界首款5.0T人体全身磁共振系统 ,采用业内首创的 5.0T 超高场强设计,重新定义了超高场磁共振的临床使用范围和科研应用前景。该系统可用于神经、体部、关节等全身多部位的成像,可以提供更高信噪比、更精细的图像质量、更好的对比度,对于全身结构及功能精准评估、健康筛查、疾病诊断及鉴别诊断,以及超高场技术研究及应用都有着非常重要的价值。
5T的优势是什么?
5T磁共振成像系统,既充分发挥了超高场磁共振高信噪比、高分辨率、高灵敏度等优势,又有效地解决了超高场带来的图像均匀度、成像安全性等问题,兼具高场强脑功能、微结构评估的优势和全身成像高解析度成像的优势。
相较于3T,5T全身高分辨率、高对比度、高信噪比能提供丰富的组织结构和功能信息,有利于精细结构、微小病灶的评估,也有利于因组织功能改变、疾病发展、疾病治疗而产生的结构及功能微小变化的捕捉,可更好地助力脑科学、神经认知科学、发育、代谢、疾病机制及治疗方案探索等方面的相关研究。
对比7T,5T在射频场均匀度、SAR值(安全性)控制方面更有优势,有利于开展超高场强全身成像方法研发和应用,对超高场强下的射频技术、成像序列、图像重建和图像处理等多方面进行研究。因5T具备优秀的临床可及性,5T相关的研究更方便进行临床转化。
5T能做什么?
uMR Jupiter 5T提供高信噪比、分辨率、成像速度的同时,提供丰富的高级应用,满足全身各部位的临床应用。
可进行头部、腹部、膝关节、胰腺等部位的超高分辨扫描,应用于烟雾病、帕金森病、脑肠轴、心源性卒中、肌萎缩侧索硬化(渐冻症)等的临床研究,呈现更丰富的细微结构,更精准的定量分析,助力全身疾病超早期发现。
除了进行超高场多器官全身疾病研究,5T磁共振在超高场诊疗一体化研究、转化医学研究等方面也提供了新的成像平台选择。
案例展示
▼超高分辨脑部结构功能成像▼

▼超高分辨腹部成像▼

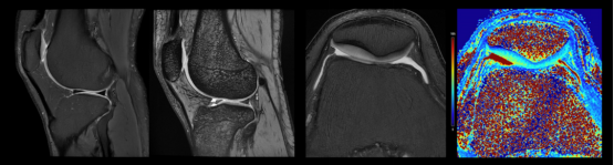
▼超高分辨关节成像▼
申请科研立项及实验预约:
1. 与中心工作人员联系,根据实验需求签署《磁共振平台项目申请协议》;
2. 校外用户需签订《仪器设备开放服务协议书》并完成缴费;
3. 申请成为 “清华大学仪器共享服务平台”(http://yqgx.tsinghua.edu.cn)用户;
4. 登录 “仪器共享服务平台” 自行预约实验。
联系方式:
地址:清华大学校内(近西北门)
固话:010-62796175(生物医学影像中心)
联系人:何老师
E-mail:cbir@mail.tsinghua.edu.cn
开放时间:
工作日08:30-17:00(一般用户);
全天(授权用户)